インフォメーション
トップページ
院長紹介
医院紹介
歯の欠損スパイラル
虫歯について
歯ぐきの病気
親知らずの抜歯
入れ歯
交通案内
ブログ
審美治療
審美歯科
セラミック治療
ラミネートベニア
ダイレクトボンディング
補綴治療後の保証
根管治療
根管治療の簡単な解説
根管治療の成功率を高める
歯髄保存療法
歯髄根管治療
感染根管治療
歯髄保存療法後の保証
根管治療後の保証
インプラント
インプラントについて
インプラントのトラブル
骨が少ない方への治療対応
GBR併用インプラント
抜歯即時インプラント
抜歯即時インプラント・2
前歯のインプラント
前歯のインプラント・2
奥歯のインプラント
奥歯のインプラント・2
ほぼ全ての歯が無い方
インプラントデンチャー
インプラント治療後の保証
かみ合わせ治療
かみ合わせ治療とは
かみ合わせ治療のケース
かみ合わせ治療のケース・2
歯列矯正
歯列矯正について
歯列矯正のケース・1
歯列矯正のケース・2
歯列矯正のケース・3
歯列矯正のケース・4
アングル1級叢生ケース
その他治療ケース・費用など
知っておいて頂きたいこと
治療費
詰め物・被せ物の種類
治療ケースまとめ
講演スケジュール
昭和町駅徒歩1分 こまつ歯科医院
»第42回日本顎咬合学会学術大会総会
一般口演優秀賞受賞
インフォメーション
トップページ
院長紹介
医院紹介
歯の欠損スパイラル
虫歯について
歯ぐきの病気
親知らずの抜歯
入れ歯
交通案内
ブログ
審美治療
審美歯科
セラミック治療
ラミネートベニア
ダイレクトボンディング
補綴治療後の保証
根管治療
根管治療の簡単な解説
根管治療の成功率を高める
歯髄保存療法
抜髄根管治療
感染根管治療
歯髄保存療法後の保証
根管治療後の保証
インプラント
インプラントについて
インプラントのトラブル
骨が少ない方への治療対応
GBR併用インプラント
抜歯即時インプラント
抜歯即時インプラント・2
前歯のインプラント
前歯のインプラント・2
奥歯のインプラント
奥歯のインプラント・2
ほぼ全ての歯が無い方
インプラントデンチャー
インプラント治療後の保証
かみ合わせ治療
かみ合わせ治療とは
かみ合わせ治療のケース
かみ合わせ治療のケース・2
歯列矯正
歯列矯正について
歯列矯正のケース・その1
歯列矯正のケース・その2
歯列矯正のケース・その3
歯列矯正のケース・その4
アングル1級叢生ケース
その他治療ケース・費用など
知っておいて頂きたいこと
治療費
詰め物・被せ物の種類
治療ケースまとめ
講演スケジュール
アングル1級叢生ケース
上下第一小臼歯抜歯を伴うストレートワイヤーテクニック
術前
上顎咬合面観
術前
正面観
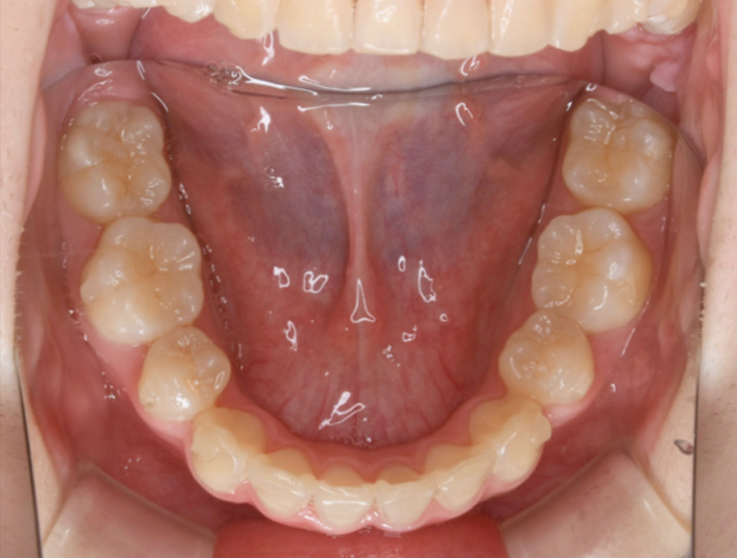
術前
下顎咬合面観
術前
セファログラム
矯正治療開始
術中
上顎咬合面観
術中
正面観
術中
下顎咬合面観
矯正6ヶ月後終了
術後
上顎咬合面観
術後
正面観
術後
下顎咬合面観
治療期間 2年6ヶ月
»講演スケジュール
診療時間
月
火
水
木
金
土
日・祝
9:00 ~13:00
●
●
●
●
●
9:00~13:00
-
15:00~19:00
●
●
●
●
●
15:00~17:00
-
歯科医師会、大学、学会、他医院への出張、セミナーなどで休診になる場合がございます
☎ 06-6625-0567