下記写真のように、「歯ぐきの色が黒い」、「歯の長さと角度と色が気になる」、「色が気になる」、「歯と歯ぐきの境目の黒いのが気になる」などを解決するのが審美歯科です。


治療の質を決めるポイントは問題点の1つひとつを見逃さない事です。歯のコンディションを整えるには手間と時間がかかりますが、治療の質において差となります。
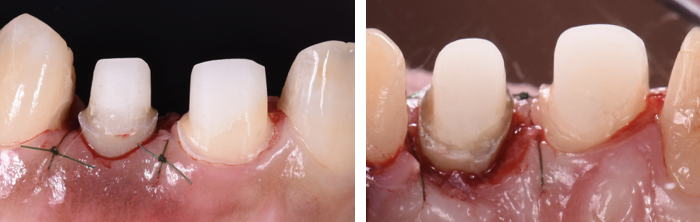
被せ物を維持するには歯肉の高さより1ミリ健全な歯質がなければいけません。この原則をフェルールと言います。それが守られなければ被せ物が取れたり、歯が折れたり2次カリエス(被せもや詰め物の下で発生する虫歯)の原因になります。


外科的歯冠延長術をおこなった結果、歯肉の高さより1ミリ健全歯質が露出してきました。
歯ぐきの状態も、左右で高さが違うと仕上がりが綺麗にならないので歯肉圧排処置をおこない仮歯で歯ぐきをじっくりと落ち着かせます。


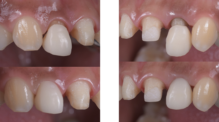
歯肉が良い感じに落ち着くまで調整を行います。仮歯の調整はもちろんの事、土台となる歯にも調整を加えて、仮歯が歯肉に加える圧力を計算しながら歯肉が成熟するのを待ちます。

仮歯に交換し、最終チェックをおこないます。

繊細な作業も終盤に入り、形が仮歯で定まればセラミックを作ります。綺麗な型取りを行う為にはこのように何度も調整をおこないます。

緑の丸印をご覧ください。それぞれ歯肉にかかる圧力を調整し、最適な状態で装着出来るように更に調整を続けます。模型上でチェックを重ねて必要条件を満たしているのか確かめます。

細かい色合わせを行い、光の透過度合いもチェックします。上写真の向かって右側は、土台となる歯の根が他よりも暗いので、セラミックの内面をマスキングして色が透けないよう遮断しています。

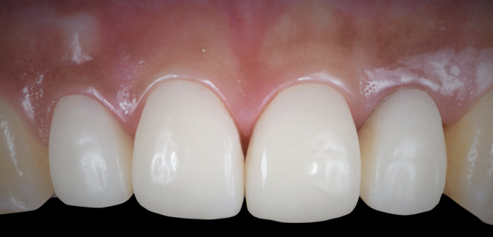
完成です。
当初の主訴であった歯の色、歯並び、歯の長さ、歯ぐきの色など可能な限り改善出来ています。この状態を長期間維持させる為のメンテナンスが大切です。
診療時間 |
月 | 火 | 水 | 木 | 金 | 土 | 日・祝 |
9:00 ~13:00 |
● | ● | ● | ● | ● | 9:00~13:00 | - |
15:00~19:00 |
● | ● | ● | ● | ● | 15:00~17:00 | - |