12月29日(月)いつもお世話になっている諸先生方やメーカー様との忘年会に参加する為診療時間は9:00〜13:00までとなります。
通院中の患者さんにはご迷惑おかけ致しますが、ご理解の程宜しくお願い致します。
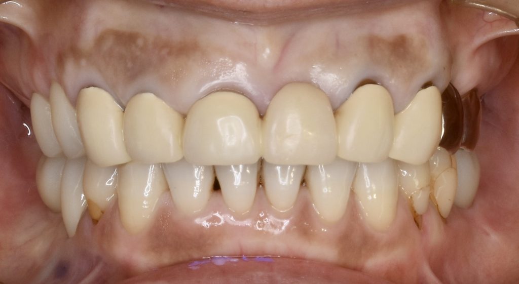
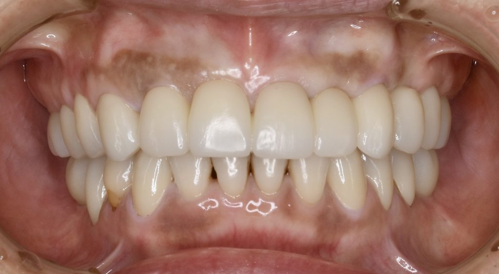
下のケースは前歯部多数歯欠損に対して治療中も即時荷重と言って常に歯が装着されている状態を維持したまま、最終補綴であるセラミック装着を迎えました。
また、全体的に歯が短く、ガミースマイルを呈していた為、術前診断から歯冠長を決めインプラント深度をコントロールしていきました。
このように術前から最終補綴物を具現化し、治療計画に落とし込む事で無駄な治療をする事なく、仕上がり良く歯間ブラシが入りやすい補綴物を装着する事が可能となります。そうする事で、長持ちする治療となるわけです。
14年間、歯科医師を指導する歯科医師による高い品質を誇る歯科治療をご提供致します。 是非当院にお任せください。
この症例にかかる費用(前歯部多数歯欠損)280万円(税別)


