2月19日(木)セミナーを開催する為、診療時間は9:00〜12:00までとなります。
通院中の患者さんにはご迷惑おかけ致しますが、どうぞご理解の程よろしくお願い致します。
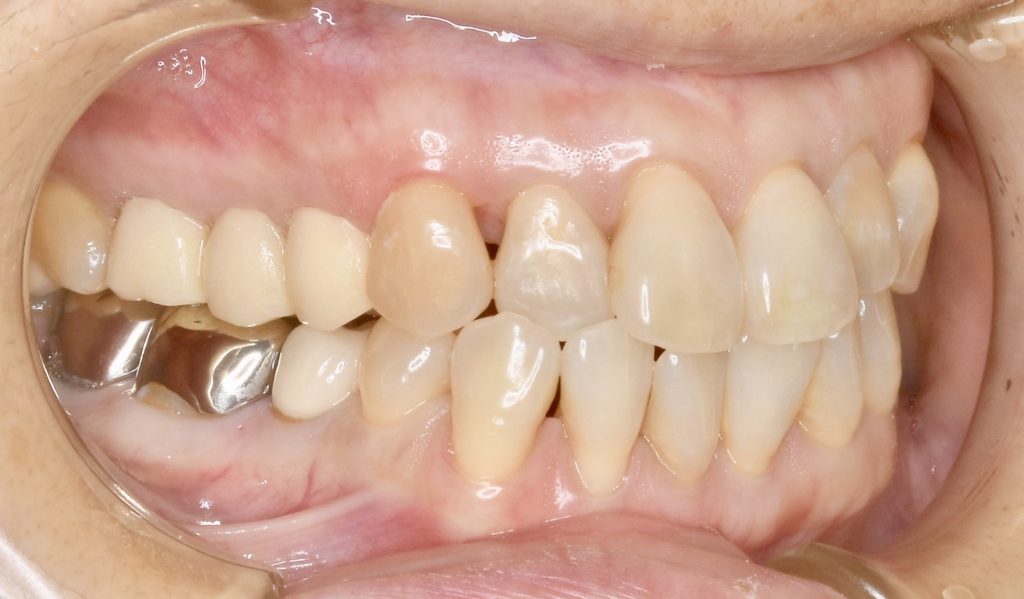
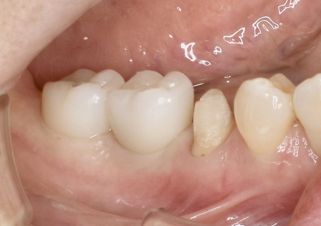
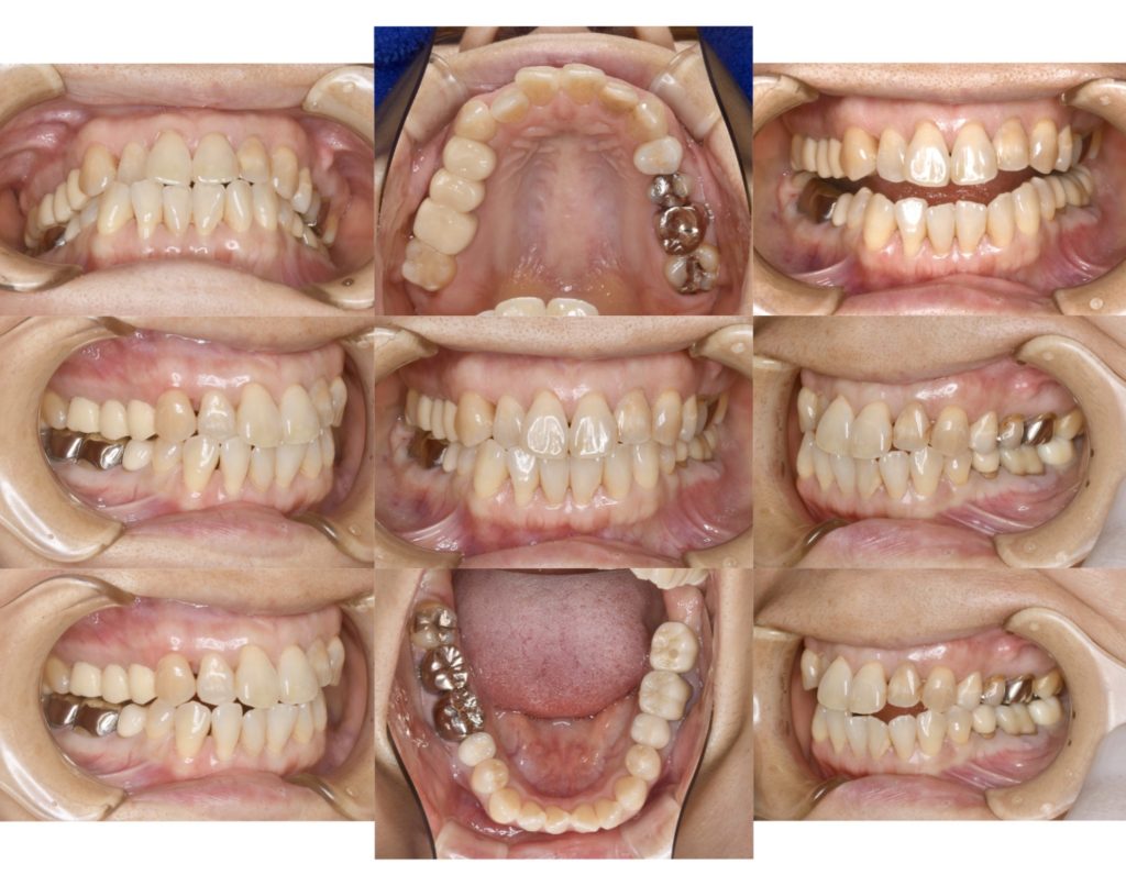
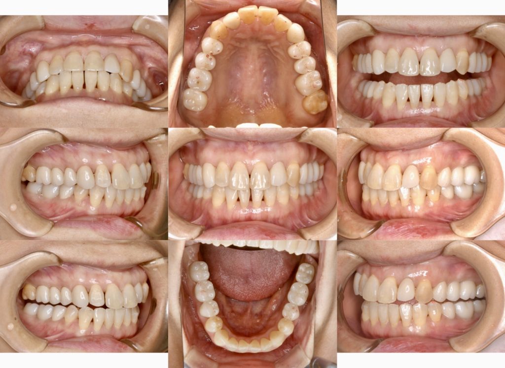
下記の症例は歯列不正を伴う多数歯カリエス治療を行いました。
歯列全体のバランスを矯正治療で改善し、インプラントを用いて審美修復治療にて咬合再構成を行いました。
今後はホワイトニングを行い色調を明るくし、保定装置を装着する予定です。
今回の症例にかかる費用 約700万円(税別)






2月19日(木)セミナーを開催する為、診療時間は9:00〜12:00までとなります。
通院中の患者さんにはご迷惑おかけ致しますが、どうぞご理解の程よろしくお願い致します。
下記の症例は歯列不正を伴う多数歯カリエス治療を行いました。
歯列全体のバランスを矯正治療で改善し、インプラントを用いて審美修復治療にて咬合再構成を行いました。
今後はホワイトニングを行い色調を明るくし、保定装置を装着する予定です。
今回の症例にかかる費用 約700万円(税別)





