メニュー 閉じる

2月7日(土)休診のお知らせ

2月7日(土)セミナー開催の為、休診となります。

通院中の患者さんにはご迷惑おかけ致しますが、どうぞご理解の程よろしくお願い致します。

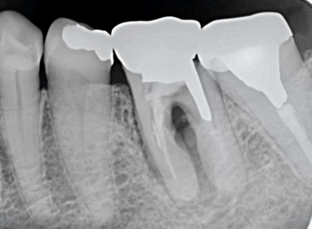
下記のケースは4年前から抜歯が必要ですとご指摘しておりました。

遠方より久しぶりの来院で痛みがが出てきたそうです。

歯根破折を起こし、周囲の骨が炎症を起こしていました。

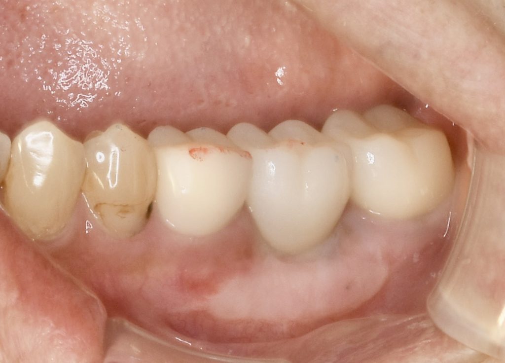
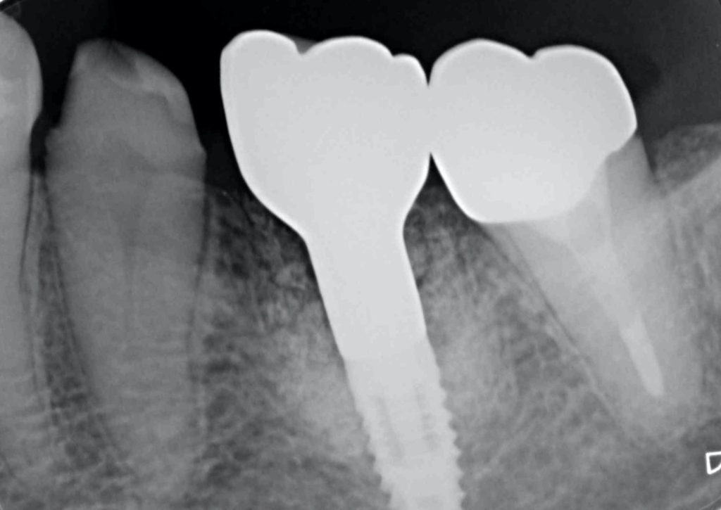
骨の再生のみならず、歯肉も不足していた為、歯肉移植を行いメンテナンスしやすい環境を整えました。

これにより長く機能させる事が可能となったと思います。

下記の症例にかかる費用    約72万円(税抜)

コメントを残す

メールアドレスが公開されることはありません。 * が付いている欄は必須項目です