2月24日(火)〜26日(木)海外研修の為、休診となります。
通院中の患者さんにはご迷惑おかけ致しますが、ご理解の程よろしくお願い致します。
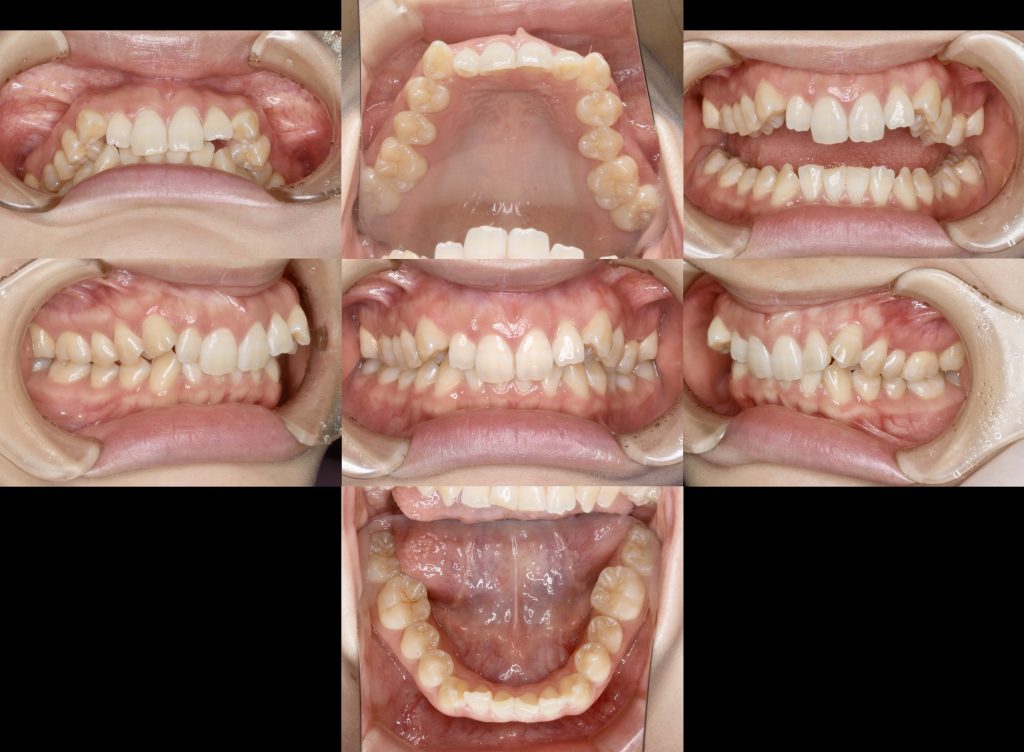
下記の症例は治療途中にはなりますが、マウスピース型では難易度が高いと言われる抜歯矯正となります。
当医院では術前検査・診査に時間を割く事で1本ずつの歯をどの程度動かせば良いか理解する事で、確実な治療結果をお約束する事ができます。
是非、歯並びでお困りの患者さんは一度当医院へお越しください。
類似症例をお見せしながら、丁寧にご説明をさせていただきます。
抜歯矯正治療120万円(税抜)



