2月28日(土)福岡でのセミナー講師として参加する為、診療時間は9:00〜12:00までとなります。
通院中の患者さんにはご迷惑おかけ致しますが、ご理解の程宜しくお願い致します。
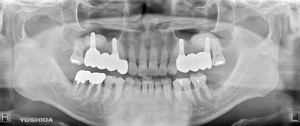
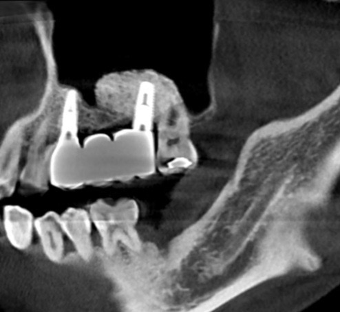
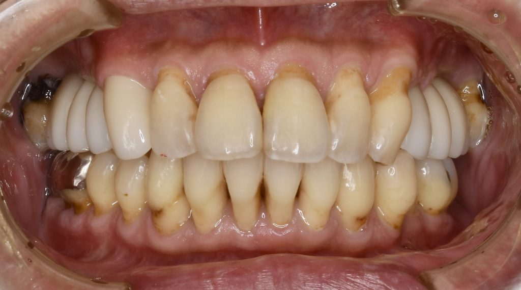
下記の症例は上顎臼歯部(上の奥歯)の骨量が不足している症例に対し、難易度の高いサイナスリフトを行い、骨量を改善させたのちインプラント埋入を行いました。
このような治療方法は特別なトレーニングを継続して受けなければ身につきません。
当医院では、このような難易度の高い手術を若手に指導する立場ですので、安全で確実、長持ちした歯科治療をお受けになられたい方は是非一度ご相談にいらしてください
上記の症例にかかる費用 約430万円(税抜)



