年内は12月30日(火)午前中までが年内最後の診療となります。
年始は1月5日(月)9:00から診療開始となります。
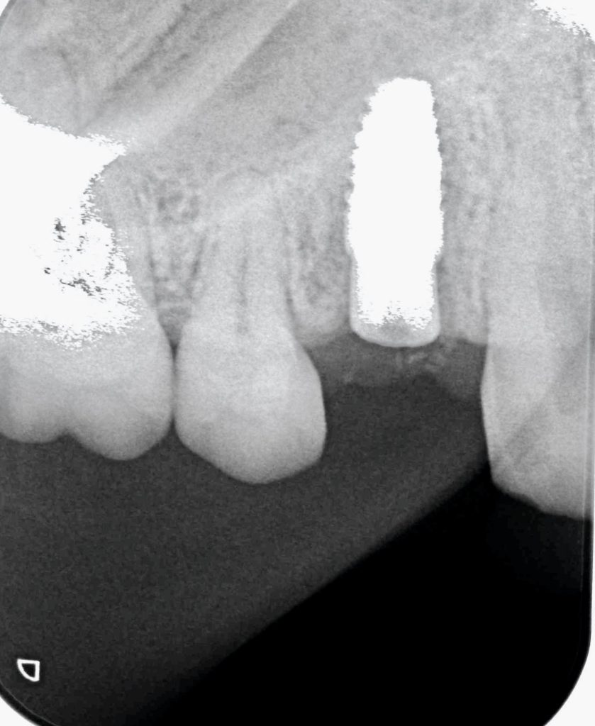
下記の症例は8年前に抜歯を勧めていました。
それ以来の来院でしたが、今回いよいよ抜歯をご決断していただきました。
神経が無く、症状を感じにくい状態ですが、歯根内部に吸収があり、いわゆる穴が空いていました。(専門的には外部吸収と言います)
抜歯と同時にインプラントを埋入し、3ヶ月後に被せ物をセットできると思います。
抜歯即時インプラント治療の費用 約58万円(税抜)
当医院では長期的視点に立ち、健康的で見た目が良く、しっかり噛めるように治療を行う事を推奨しています。






