12月9日(火)他医院での出張手術の為、診療時間は9:00〜12:30までとなります。
通院中の患者さんにはご迷惑おかけ致しますが、どうぞご理解の程よろしくお願い致します。
歯が欠損して長期間放置すると歯槽骨、歯肉が薄くなりインプラント治療を行う事が困難をきたす症例ございます。
その場合、ショートインプラント(8mm以下)と言って通常より長さの短いインプラントを埋入する事があります。
様々な条件から侵襲の大きな骨造成や歯肉移植などせずに治療期間を短く、ご負担の大きな外科処置を避ける選択肢をご提案いたします。
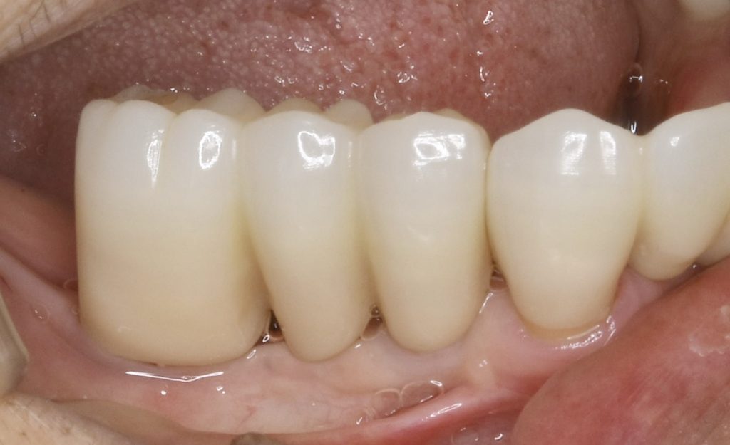
下の症例は、83歳の女性になります。
長年、入れ歯を装着されていたのですが、アタッチメントを装着している歯が大きな負担により歯根破折を起こして咀嚼不全となりました。
高齢の為、早期の咀嚼機能の回復を目指しショートインプラントを用いた咬合機能の回復を目指しました。
治療後、4年経過しましたが3ヶ月に一度のメンテナンスに来院していただき、しっかり食事が取れるそうで、治療結果に喜んでいただいています。
下記の症例にかかる費用 約150万円(税抜)


