メニュー 閉じる

12月17日〜19日休診のお知らせ

12月17日(水)〜19日(金)まで海外研修のため、休診となります。

通院中の患者さんにはご迷惑おかけ致しますが、どうぞご理解の程よろしくお願い致します。

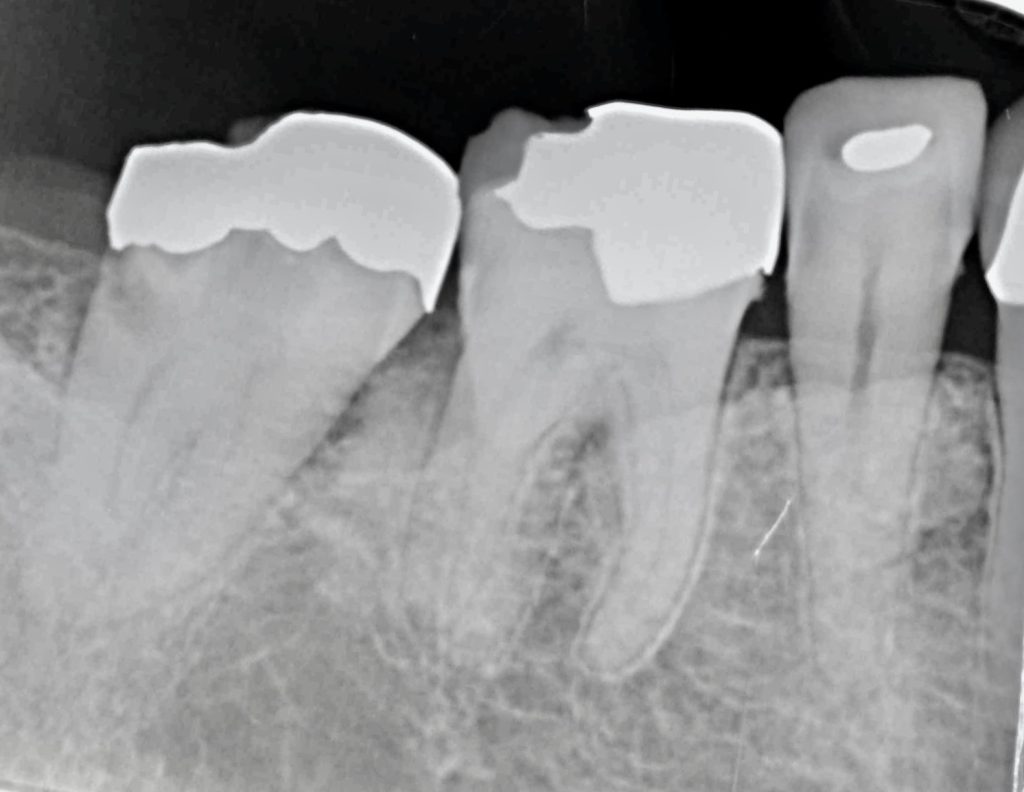
抜歯原因の多くは齲蝕、歯周病、歯根破折となります。

成人のカリエスの大部分の原因は隣接面カリエスと言われており、デンタルフロスや歯間ブラシでプラークコントロールを行う事で重要です。

今回、古いメタルインレーの中でカリエスが進行し、骨縁下まで進行していました。

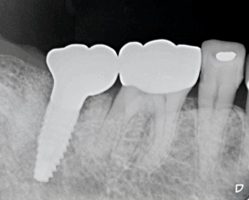
抜歯と同時にインプラント埋入手術を行い、4ヶ月ほどで治療を完了いたしました。

抜歯同時インプラント埋入手術の費用  約60万円(税抜)

コメントを残す

メールアドレスが公開されることはありません。 * が付いている欄は必須項目です