12月6日(土)博多でのセミナーに講師として参加する為、休診となります。
通院中の患者さんにはご迷惑おかけいたしますが、どうぞご理解の程よろしくお願い致します。
歯茎が下がり、歯が長く見える。冷たいもので染みる。歯ブラシがしにくい。など歯肉退縮が起こった場合、歯周再生手術を受けていただく事で失われた歯茎を再生させる事ができます。



12月6日(土)博多でのセミナーに講師として参加する為、休診となります。
通院中の患者さんにはご迷惑おかけいたしますが、どうぞご理解の程よろしくお願い致します。
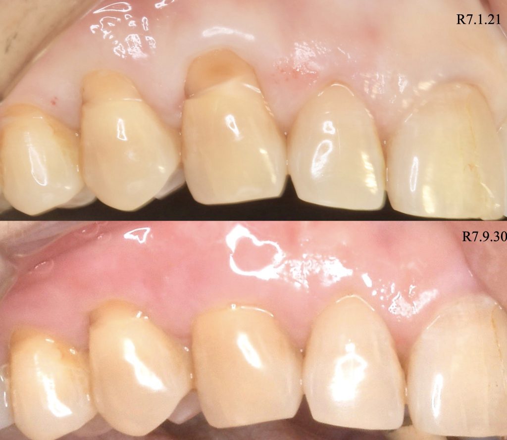
歯茎が下がり、歯が長く見える。冷たいもので染みる。歯ブラシがしにくい。など歯肉退縮が起こった場合、歯周再生手術を受けていただく事で失われた歯茎を再生させる事ができます。


