3月6日(金)他医院での出張手術の為、診療時間は9:00〜12:00までとなります。
通院中の患者さんにはご迷惑おかけ致しますが、どうぞご理解の程宜しくお願い致します。
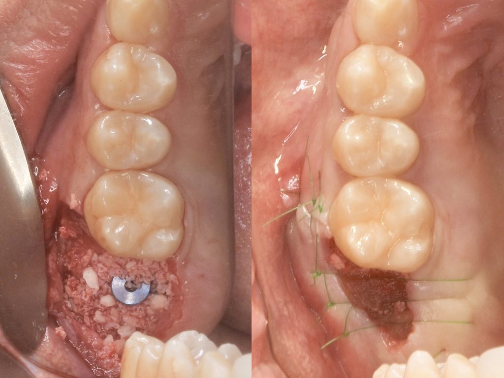
下記の症例は新しくローンチされるインプラントを前もって使用感を確認する為に、適したケースに使わせていただいております。
今回のケースは新しいインプラントを使うことで、骨造成の負担を減らし、清掃性を高める事ができました。





3月6日(金)他医院での出張手術の為、診療時間は9:00〜12:00までとなります。
通院中の患者さんにはご迷惑おかけ致しますが、どうぞご理解の程宜しくお願い致します。
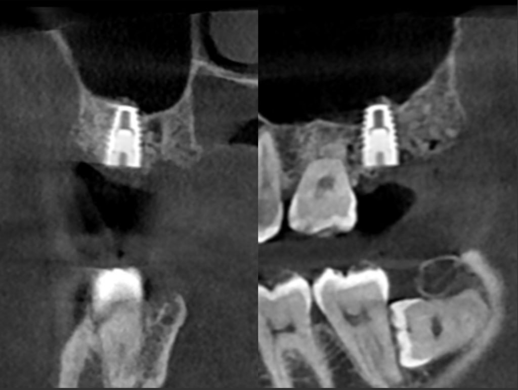
下記の症例は新しくローンチされるインプラントを前もって使用感を確認する為に、適したケースに使わせていただいております。
今回のケースは新しいインプラントを使うことで、骨造成の負担を減らし、清掃性を高める事ができました。




