3月23日(月)他医院での出張手術の為、診療時間は9:00〜12:00となります。
通院中の患者さんにはご迷惑おかけ致しますが、どうぞご理解の程よろしくお願い致します。
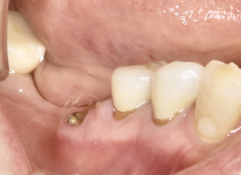
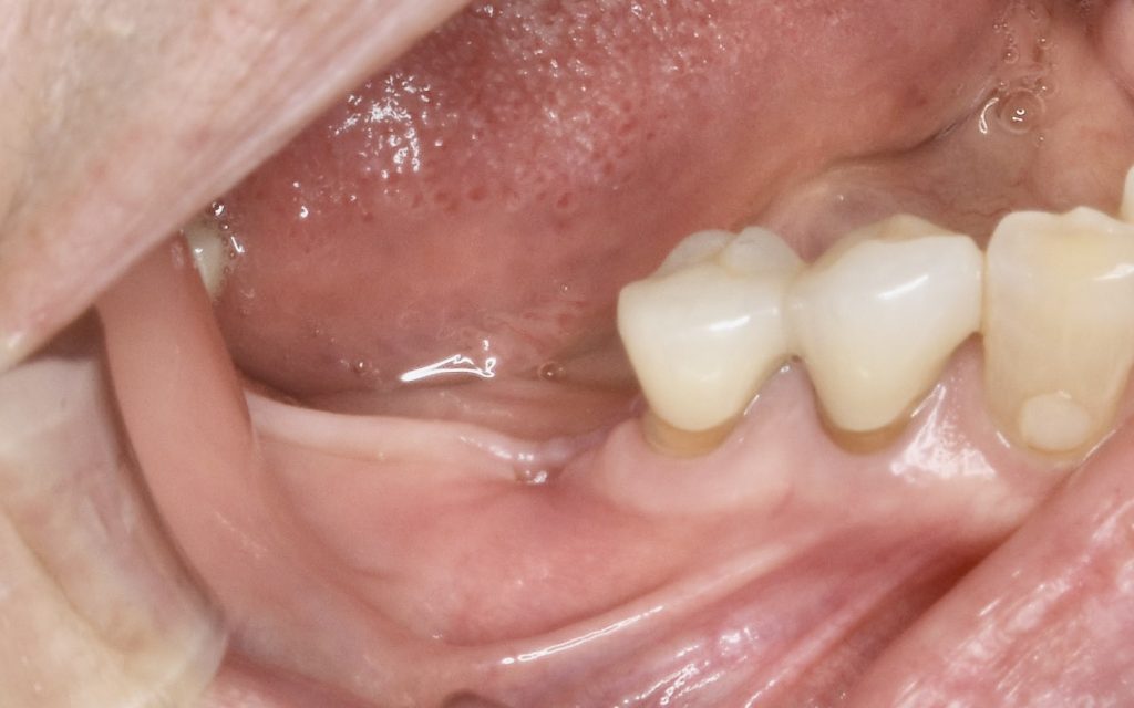
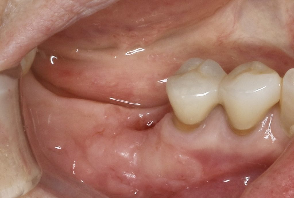
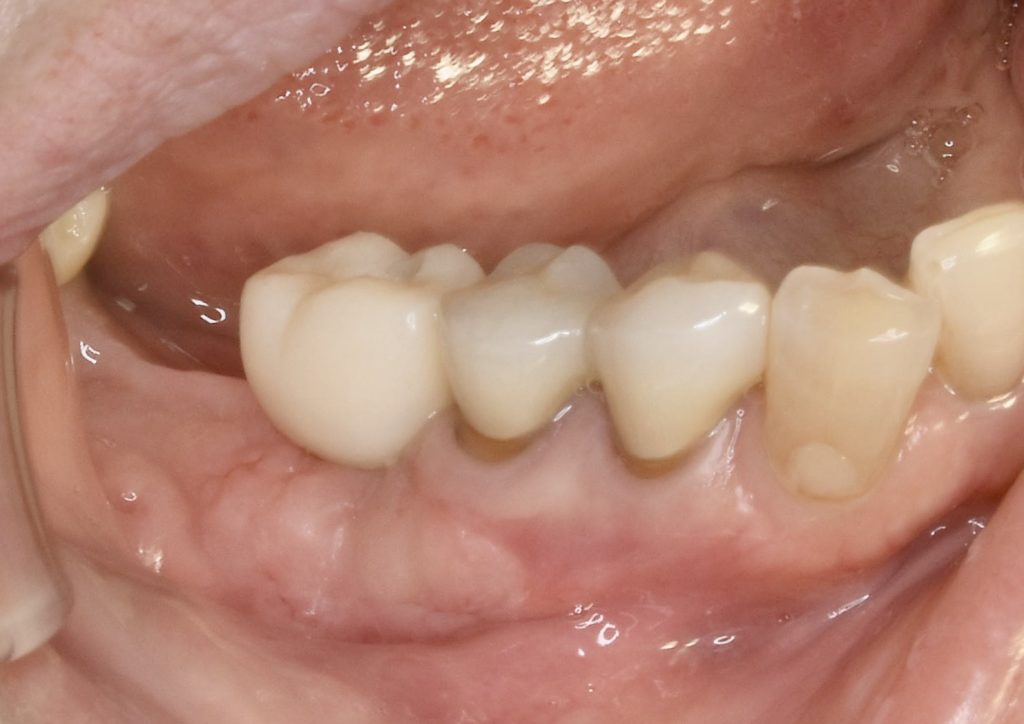
下記の症例はインプラントだけ埋入すれば良いわけではありません。
周囲環境を整え長期的に安定し、長持ちさせるインプラントを目指す必要があります。
その為に歯肉を移植しインプラント周囲に強い抵抗力を持つ歯肉を作る事が大切です。
遊離歯肉移植術にかかる費用 約121000円(税込)





3月23日(月)他医院での出張手術の為、診療時間は9:00〜12:00となります。
通院中の患者さんにはご迷惑おかけ致しますが、どうぞご理解の程よろしくお願い致します。
下記の症例はインプラントだけ埋入すれば良いわけではありません。
周囲環境を整え長期的に安定し、長持ちさせるインプラントを目指す必要があります。
その為に歯肉を移植しインプラント周囲に強い抵抗力を持つ歯肉を作る事が大切です。
遊離歯肉移植術にかかる費用 約121000円(税込)




