3月5日(木)セミナー開催の為、休診となります。
通院中の患者さんにはご迷惑おかけ致しますが、ご理解の程よろしくお願い致します。

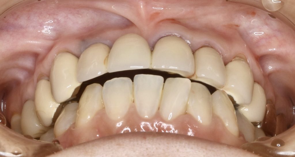
下記の症例は噛み合わせが悪く咬合障害を起こしていました。
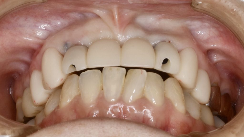
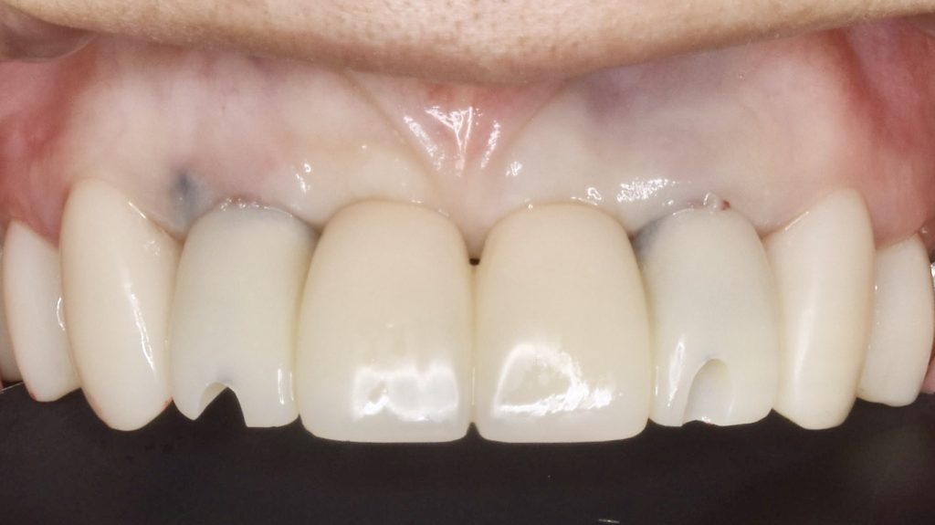
古い補綴物を外し、インプラントに置き換え、噛み合わせのバランスを整えました。
精密な仮歯を装着し、見た目、噛み合わせ、清掃性、発音などをチェックいていただきます。
下記の症例にかかる費用 約300万円(税抜)




3月5日(木)セミナー開催の為、休診となります。
通院中の患者さんにはご迷惑おかけ致しますが、ご理解の程よろしくお願い致します。

下記の症例は噛み合わせが悪く咬合障害を起こしていました。
古い補綴物を外し、インプラントに置き換え、噛み合わせのバランスを整えました。
精密な仮歯を装着し、見た目、噛み合わせ、清掃性、発音などをチェックいていただきます。
下記の症例にかかる費用 約300万円(税抜)



