メニュー 閉じる

12月4日(木)休診のお知らせ

12月4日(木)歯科医師向けセミナーを開催するため、休診となります。

通院中の患者さんにはご迷惑おかけ致しますが、ご理解の程よろしくお願い致します。

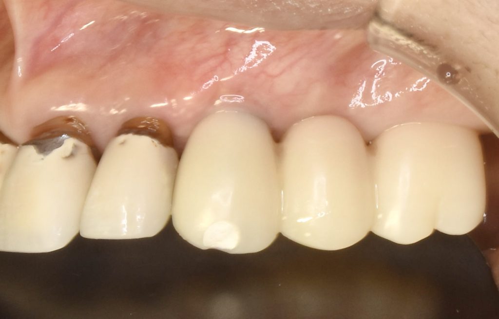
骨量不足でこのままではインプラント治療をお受けできない場合など専門性高い治療を当医院ではお受け致しております。

一味違う美しさと手入れしやすく、違和感の少ない形態を手に入れたい患者さんは是非当医院にお任せください。

コメントを残す

メールアドレスが公開されることはありません。 * が付いている欄は必須項目です