10月9日(木)出張手術とセミナー開催の為、休診となります。
通院中の患者さんにはご迷惑おかけいたしますが、ご理解の程よろしくお願い致します。

下記の症例は当院の審美領域のインプラント治療の治療結果となります。
治療後、どの歯を抜歯してインプラント治療を行ったか見分けがつかないような治療結果に拘っています。
治療後のクオリティーはもちろん、できるだけ負担の少ない術式を意識し、患者ファーストを第一に考えております。
この症例に発生する費用 約85万円(税抜)



10月9日(木)出張手術とセミナー開催の為、休診となります。
通院中の患者さんにはご迷惑おかけいたしますが、ご理解の程よろしくお願い致します。

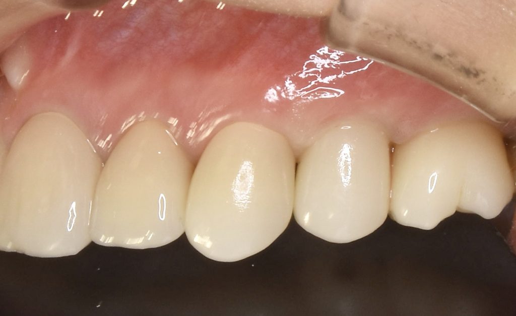
下記の症例は当院の審美領域のインプラント治療の治療結果となります。
治療後、どの歯を抜歯してインプラント治療を行ったか見分けがつかないような治療結果に拘っています。
治療後のクオリティーはもちろん、できるだけ負担の少ない術式を意識し、患者ファーストを第一に考えております。
この症例に発生する費用 約85万円(税抜)


