10月7日(火)他医院での出張手術の為、診療時間は9:00〜12:00までとなります。
通院中の患者さんにはご迷惑おかけ致しますが、ご理解の程よろしくお願い致します。
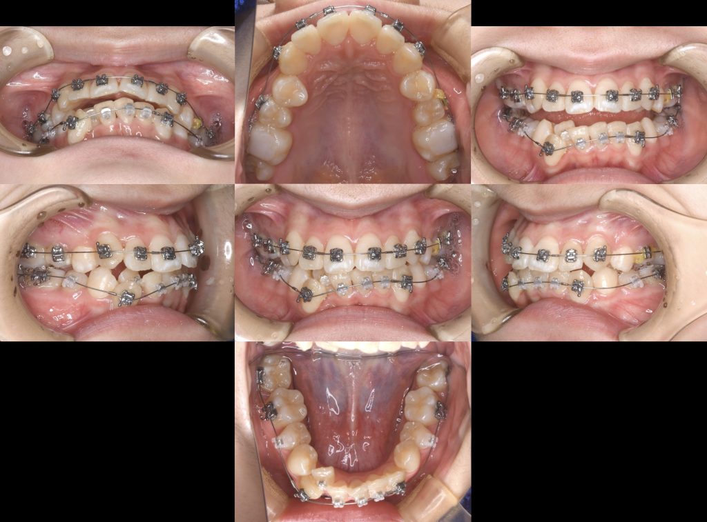
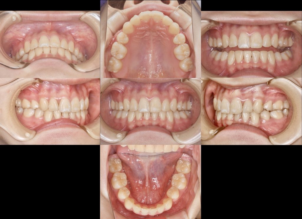
下記の症例は歯列不正(叢生)に対して、第一小臼歯を上下4本抜歯し、スペースクローズをワイヤー矯正にて行いました。
マウスピース(インビザライン )も当院では行いますが、適応症に向き不向きがありますので、患者さんに合った、適切な方法を推奨いたします。
今宵、マウスピース治療のみで改善できず、いつまで経っても終わらない、噛めないなどのトラブルや術前にレントゲンや術後の完成イメージを見せてらってないなどで問題になっております。矯正治療をご希望される患者さんは噛み合わせ治療を得意とするオールラウンドな歯科医院で行う事をお勧めしております。また矯正歯科のみを専門としているところでも噛み合わせが得意でなければ治療して一見、歯が並んだように見えて実な噛んでないという事がございますので、ご注意ください。
当医院では、必ず詳細な術前検査を行い、治療後の歯並び、噛み合わせ、骨格バランス、口唇との関係性、美しい側貌など多角的に診断し、治療方法、治療期間、費用をご説明しております。(矯正診断料は症例の難易度により10万円から30万円まで)
治療期間 2年6ヶ月
治療費用 約140万円(税抜き)



虫歯や歯周病など健康保険適用治療から高度で複雑な補綴治療(噛み合わせ)、インプラントや精密な義歯、高度な歯周病再生外科治療、矯正治療まで院長が全て治療を行なっています。
どの分野においても、手を抜かずクオリティの高い、同一症例を他院で治療するより必ず仕上がりを良くできる自信がございますので、お口のトラブルで悩まれている方は一度ご相談ください。
上記の考えの元、歯科医院を運営しており、また自院以外での講演、大学、メーカー、主宰する勉強会、他医院での手術などにより診療予約が取れにくくなっております。
診療時間を重複してご予約をお取りする事はございません。(健康保険診療の場合は内容によりございます)また一回の診療が長ければ3時間、少なくとも1時間はかかりますので、患者さん都合による予約日よる1週間以内のキャンセルにはキャンセル料が発生いたしますので、忘れた、仕事が入ったなどの理由にお気をつけください。
我々も全力で皆様の健康を維持するお手伝いをさせていただいておりますので、ご理解宜しくお願い致します