10月24日(金)他医院での出張手術の為、診療時間は9:00〜12:00までとなります。
通院中の患者さんにはご迷惑おかけ致しますが、ご理解の程宜しくお願い致します。
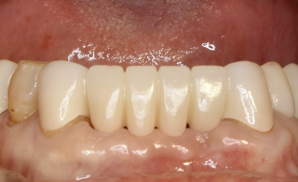
下記の症例は下顎前歯の叢生(ガタガタな歯並び)に対する治療法でブリッジを選択いたしました。
これにより、上顎前歯との噛み合わせが良くなり、歯間ブラシが入りやすくなる事で手入れしやくなりました。
6前歯ブリッジの治療費用 約120万円(税抜)




10月24日(金)他医院での出張手術の為、診療時間は9:00〜12:00までとなります。
通院中の患者さんにはご迷惑おかけ致しますが、ご理解の程宜しくお願い致します。
下記の症例は下顎前歯の叢生(ガタガタな歯並び)に対する治療法でブリッジを選択いたしました。
これにより、上顎前歯との噛み合わせが良くなり、歯間ブラシが入りやすくなる事で手入れしやくなりました。
6前歯ブリッジの治療費用 約120万円(税抜)



