6月25日(水)院内セミナーを開催しますので、休診となります。
通院中の患者さんにはご迷惑おかけ致しますが、ご理解の程よろしくお願い致します。

下記のケースは全顎治療途中になります。
欠損部位にはインプラント、天然歯周囲の歯肉の炎症が取れた状態になっているのがわかります。




6月25日(水)院内セミナーを開催しますので、休診となります。
通院中の患者さんにはご迷惑おかけ致しますが、ご理解の程よろしくお願い致します。

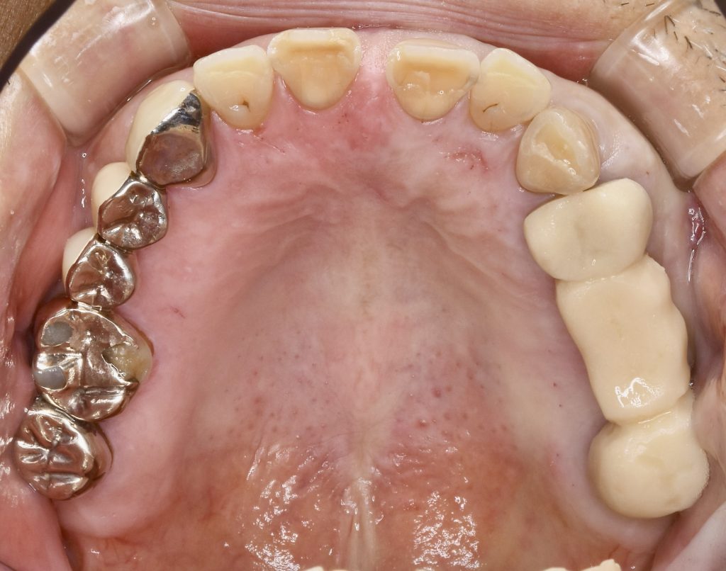
下記のケースは全顎治療途中になります。
欠損部位にはインプラント、天然歯周囲の歯肉の炎症が取れた状態になっているのがわかります。



