5月30日(金)当医院にて歯科医師向けのアドバンスサージェリーセミナーを開催しますので休診となります。
通院中の患者さんにはご迷惑おかけ致しますが、ご理解の程、宜しくお願い致します。

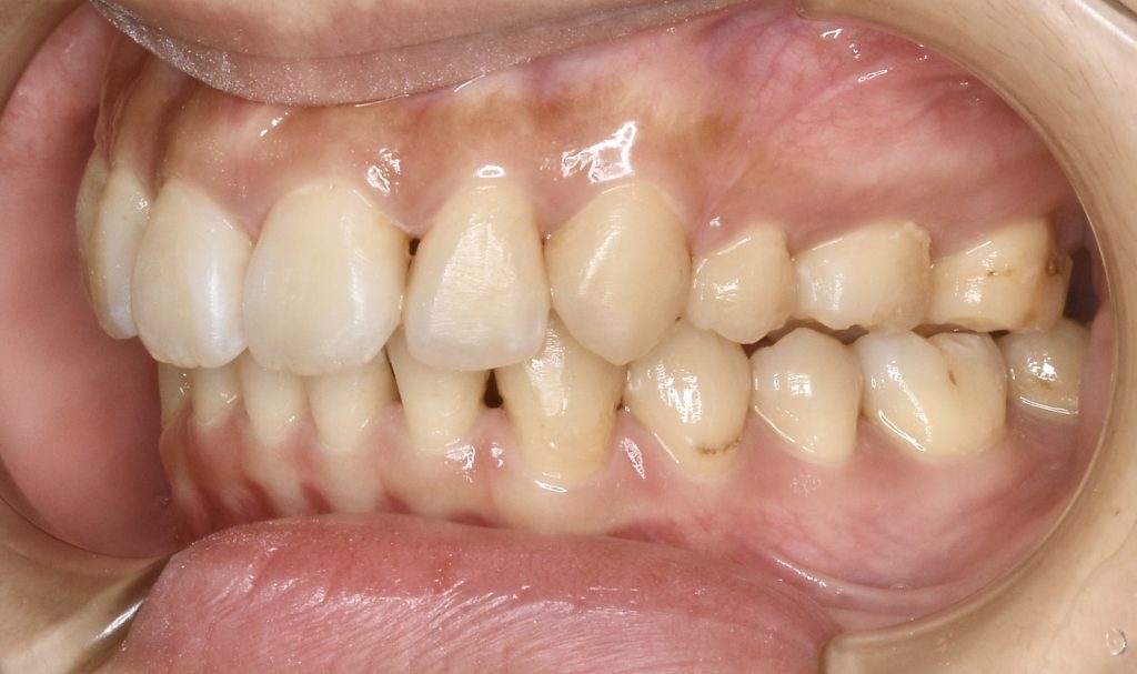
下記のケースは当医院でおこなった矯正治療になります。
当医院では噛み合わせをもっとも重視し、側貌プロファイルを美しく口元と調和した前歯の配列を意識しています。
上顎前歯が突出して上下前歯が噛み合っていませんでした。
その不都合として、口唇閉鎖不全を起こし常に乾燥した口腔内とそれによる隣接面カリエスが多発していました。
術前診査から上顎は第一小臼歯抜歯、下顎は第二大臼歯抜歯を行い、上下前歯のカップリングを獲得し、臼歯離開が得られる咬合関係を目指します。
術後、概ね術前の計画通り進み。残りはカリエス処置後の永続的経過を目指すセラミック治療を行なっていく予定です。
当医院の矯正治療費用の目安
抜歯を伴ない矯正治療 約100万円〜
抜歯を伴う矯正治療 約115万円〜





