5月19日(月)他院での出張手術の為、診療時間は9:00〜12:00までとなります。
通院中の患者さんにはご迷惑おかけ致しますが、ご理解の程、宜しくお願い致します。
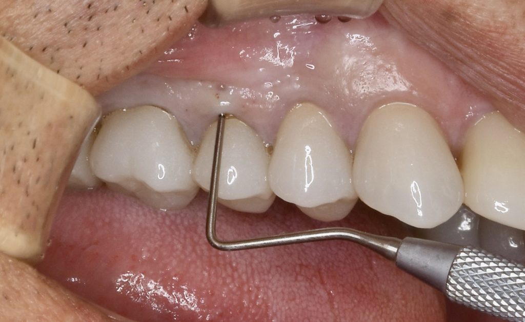
下の症例は歯根破折を起こし、垂直的骨量が乏しく難症例となっていました。
このような症例に対し、抜歯と同時に骨量を回復させインプラントの固定を取る事で一回の外科処置で4ヶ月の待機期間で補綴物を装着する事が出来ます。












5月19日(月)他院での出張手術の為、診療時間は9:00〜12:00までとなります。
通院中の患者さんにはご迷惑おかけ致しますが、ご理解の程、宜しくお願い致します。
下の症例は歯根破折を起こし、垂直的骨量が乏しく難症例となっていました。
このような症例に対し、抜歯と同時に骨量を回復させインプラントの固定を取る事で一回の外科処置で4ヶ月の待機期間で補綴物を装着する事が出来ます。











