4月25日(金)他医院での出張手術の為、診療時間は9:00〜13:00までとなります。
通院中の患者さんにはご迷惑おかけ致しますが、ご理解の程宜しくお願い致します。
当院は患者さんの想いを汲み取り、期待以上の治療結果を出すよう心掛けています。
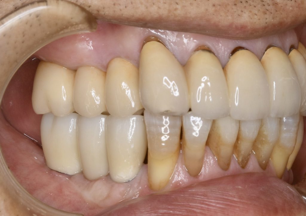
下の症例は初診時、奥歯で噛めないという主訴で来院しました。
インプラントを用い不自由なくしっかり噛めるようにそして、見た目が良くお手入れしやすいよう補綴物を作製しました。
この治療は16年経過後になりますが、この期間3ヶ月に一度のメンテナンスに来院していただいております。




