

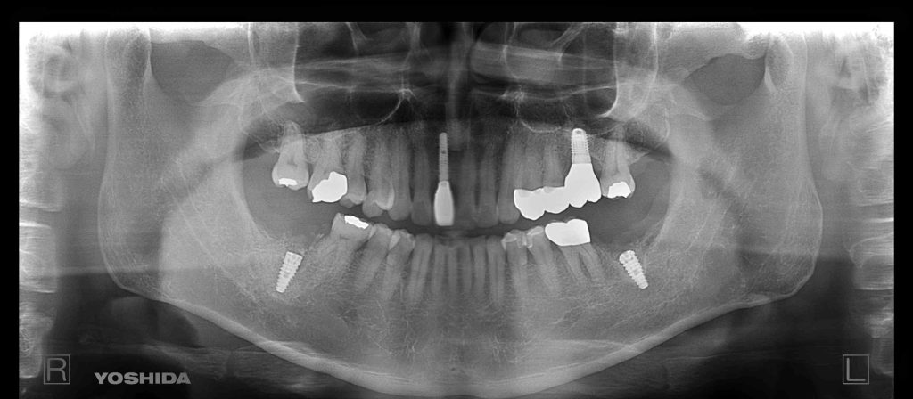
根本的な原因は咬合に起因しており、歯周病が進行して抜歯が必要な状態でした。
神経に近いケースなので抜歯と同時に炎症組織をしっかり取り除きCTで確認しながら初期固定がしっかりとれるインプラントデザインを選択することで、3ヶ月後には骨結合が得られると思います。
費用 1本あたり
抜歯即時インプラント埋入 385000円
GBR 55000円
仮歯 33000円
ジルコニアクラウン 176000円


根本的な原因は咬合に起因しており、歯周病が進行して抜歯が必要な状態でした。
神経に近いケースなので抜歯と同時に炎症組織をしっかり取り除きCTで確認しながら初期固定がしっかりとれるインプラントデザインを選択することで、3ヶ月後には骨結合が得られると思います。
費用 1本あたり
抜歯即時インプラント埋入 385000円
GBR 55000円
仮歯 33000円
ジルコニアクラウン 176000円