4月21日(火)他医院での出張手術の為、診療時間は9:00〜13:00までとなります。
通院中の患者さんにはご迷惑おかけ致しますが、ご理解の程よろしくお願い致します。
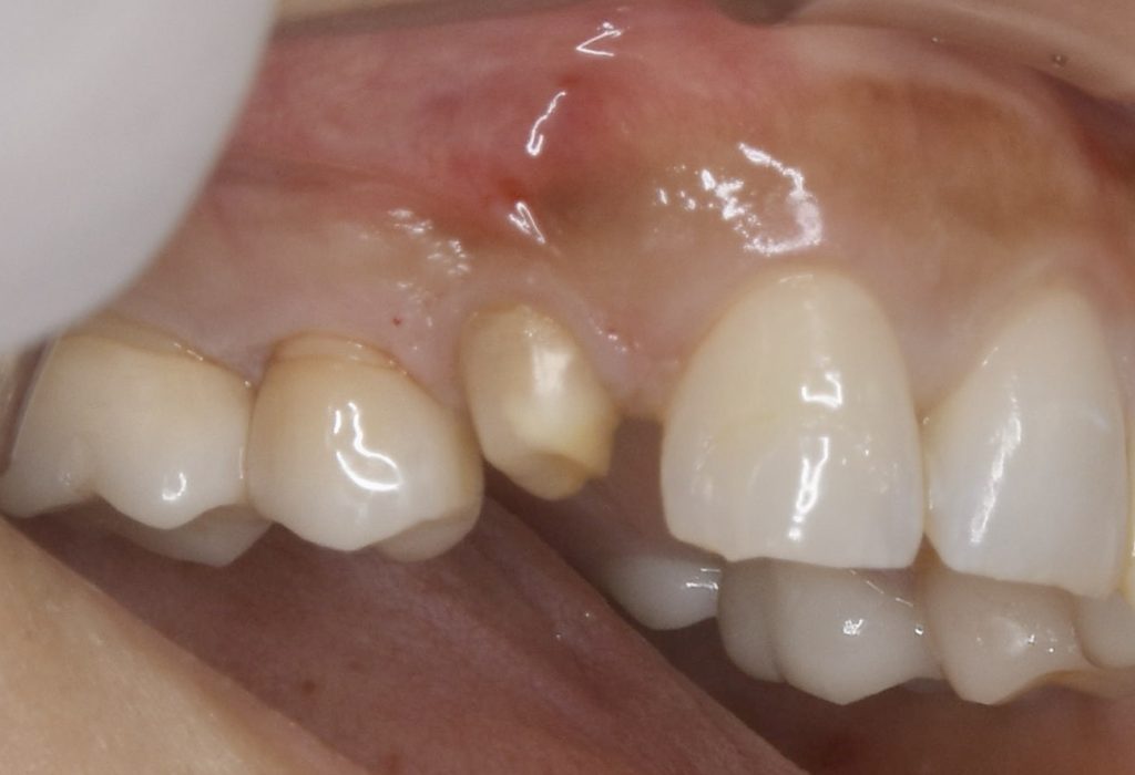
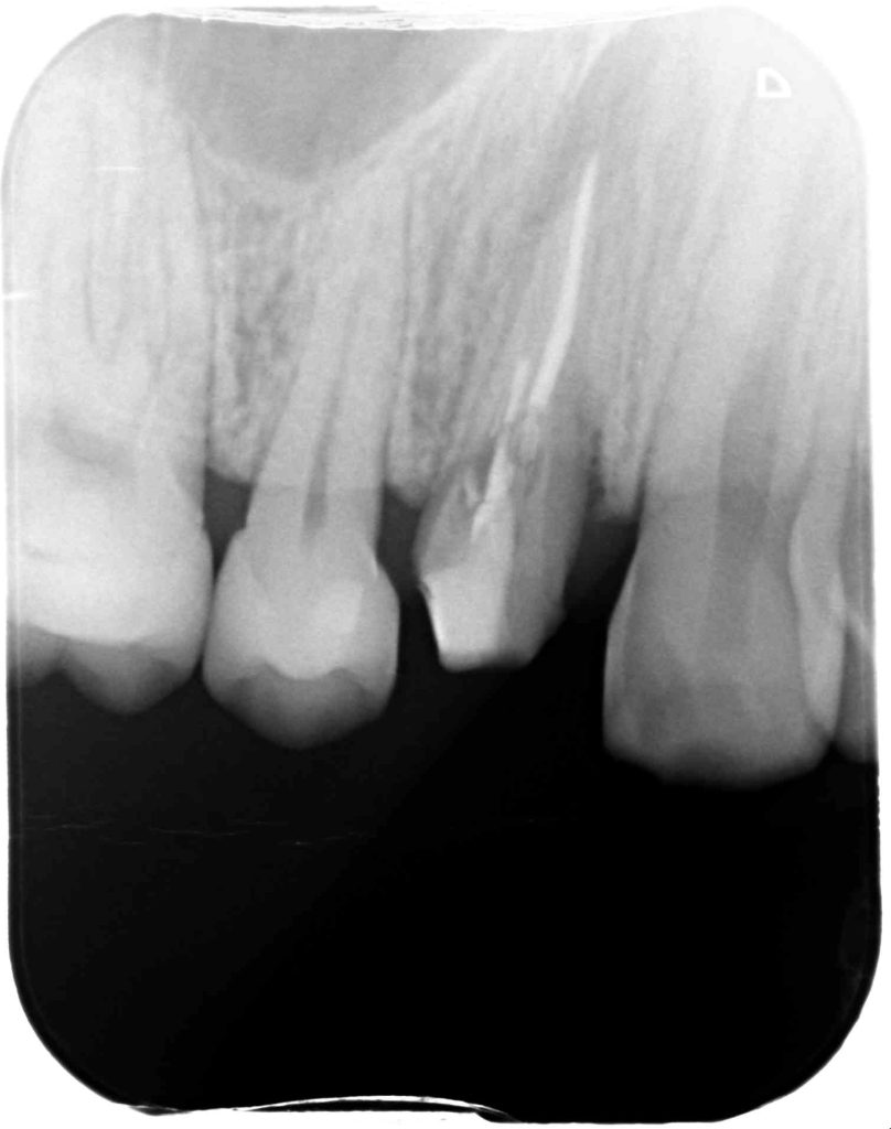
下記の症例は7年前の来院時に外部吸収を起こしていた為、患者さんに抜歯を勧めていました。
その時は、さほど自覚症状もなく、経過観察となりましたが、今回は被せ物が取れ、口臭がするという事で久しぶりに当医院に来院していただきました。
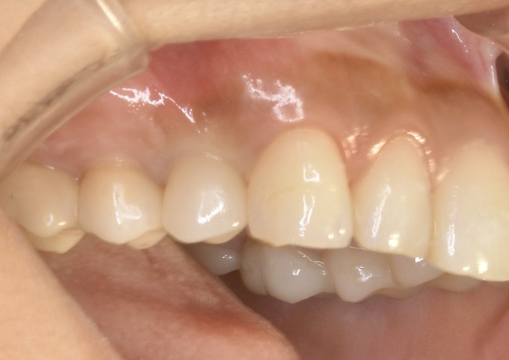
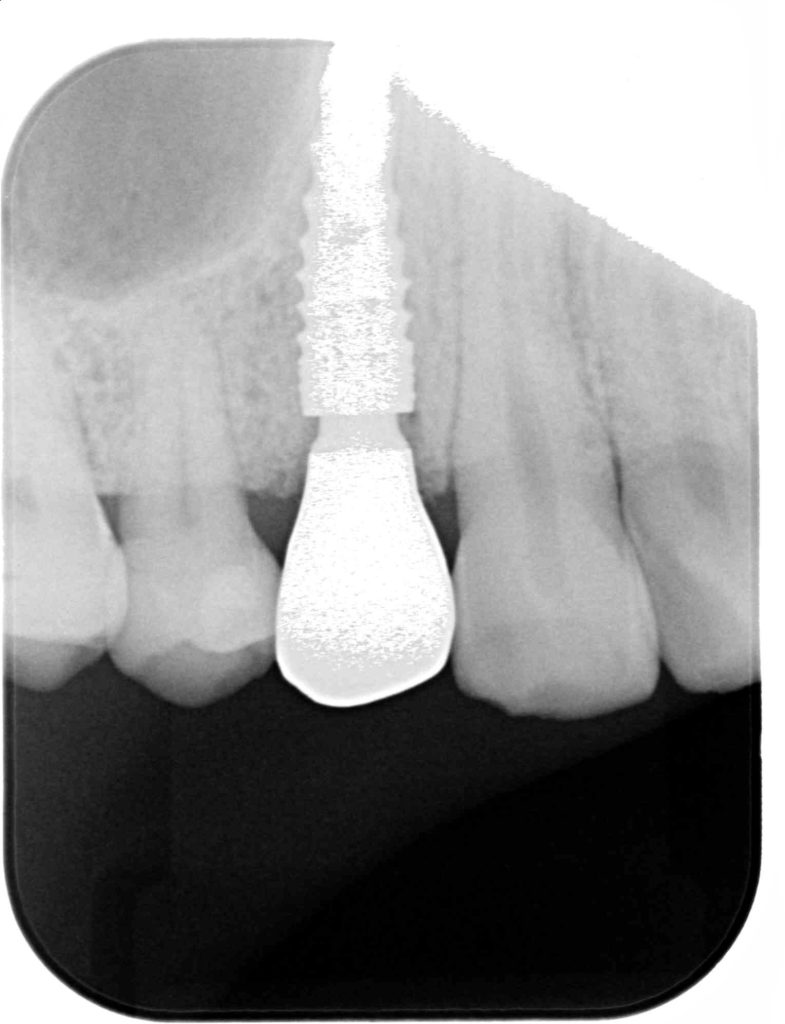
神経がないので痛みというより違和感程度でしたが、抜歯に同意していただき、抜歯と同時にインプラント治療を行い、できるだけ負担を減らし治療期間を短縮する計画を立てました。
この症例にかかる治療期間 約4ヶ月
この症例にかかる費用 約63万円(税別)





