4月18日(土)他医院での出張手術の為、診療時間は9:00〜13:00までとなります。
通院中の患者さんにはご迷惑おかけ致しますが、ご理解の程宜しくお願い致します。
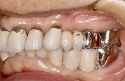
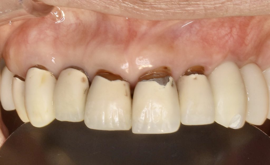
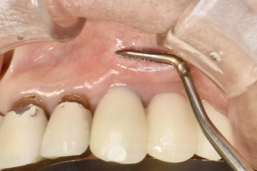
下記の症例は骨幅が薄く、このままでは長期的に安定したインプラント治療が不可能だったので、抜歯と同時に骨造成(GBR)を行い、その後歯肉移植(FGG)を行い、術後安定した経過を辿るよう配慮致しました。
この症例にかかる費用 約78万円(税別)







4月18日(土)他医院での出張手術の為、診療時間は9:00〜13:00までとなります。
通院中の患者さんにはご迷惑おかけ致しますが、ご理解の程宜しくお願い致します。
下記の症例は骨幅が薄く、このままでは長期的に安定したインプラント治療が不可能だったので、抜歯と同時に骨造成(GBR)を行い、その後歯肉移植(FGG)を行い、術後安定した経過を辿るよう配慮致しました。
この症例にかかる費用 約78万円(税別)






