4月22日(水)他医院での出張手術の為、診療時間は9:00〜15:00までとなります。
通院中の患者さんにはご迷惑おかけ致しますが、ご理解の程よろしくお願い致します。
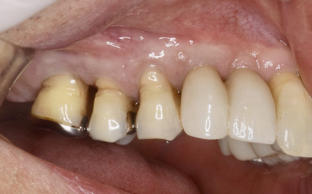
下記の症例は歯周病が原因で垂直的骨量が不足していました。
通常では、大掛かりな手術が必要であり治療期間が1年ほど要します。
しかし、残存歯への負担が大きくなり、更なる抜歯が必要になりかねません。
今回は多少適応症ではなかったんですが、この状況を保つ為、骨造成と同時にインプラント手術を行う事にしました。






4月22日(水)他医院での出張手術の為、診療時間は9:00〜15:00までとなります。
通院中の患者さんにはご迷惑おかけ致しますが、ご理解の程よろしくお願い致します。
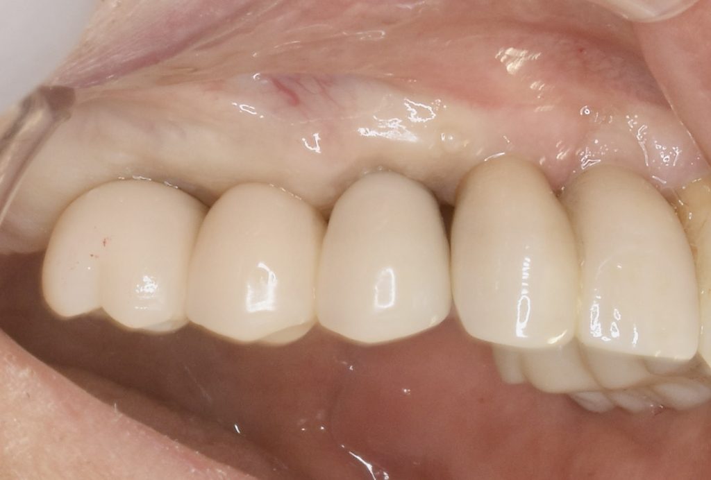
下記の症例は歯周病が原因で垂直的骨量が不足していました。
通常では、大掛かりな手術が必要であり治療期間が1年ほど要します。
しかし、残存歯への負担が大きくなり、更なる抜歯が必要になりかねません。
今回は多少適応症ではなかったんですが、この状況を保つ為、骨造成と同時にインプラント手術を行う事にしました。





