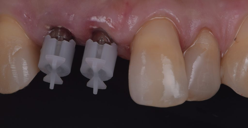
一番難しいインプラント治療と言われています ksika_master 2019年3月3日 インプラント治療 0 コメント 被せ物が取れた状態です 破折しているところは骨まで溶けていました。 左右対称(シンメトリー)に仕上げることが難しい中切歯と側切歯の連続欠損。 型どり用のコーピングをセットしたところです。 審美的な治療結果を出すことが難しいといわれていますが一度の手術で何とかバランスもとる事ができました 投稿ナビゲーション 前 過去の投稿: こだわる補綴治療次へ 次の投稿: 奥歯のインプラント治療 コメントを残す コメントをキャンセルメールアドレスが公開されることはありません。 * が付いている欄は必須項目ですコメント 名前 * メール * サイト