メニュー 閉じる

3月28日(土)診療時間のお知らせ

福岡でのセミナーに参加する為、3月28日(土)、診療時間は9:00〜11:00までとなります。

通院中の患者さんにはご迷惑おかけ致しますが、どうぞご理解のほどよろしくお願い致します。

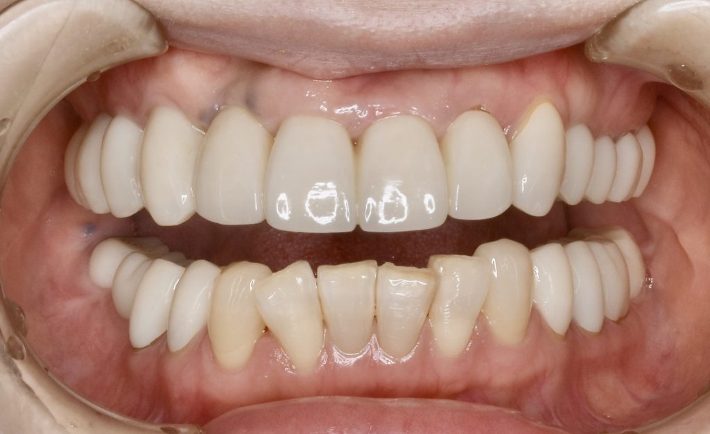
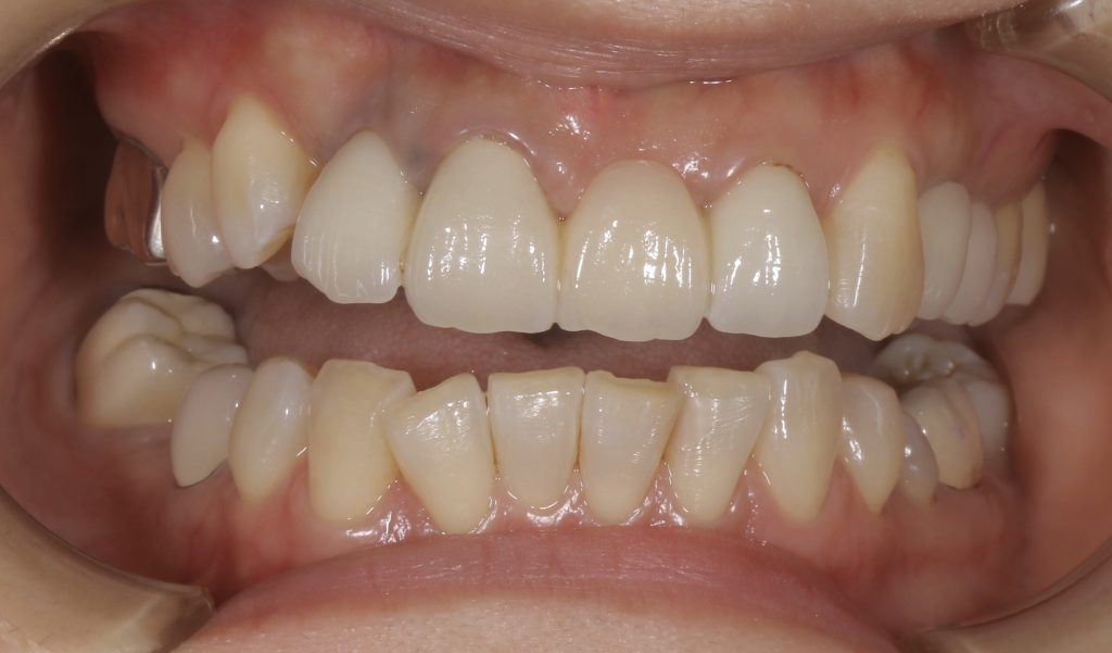
下記の症例は術前から8年経過した状態です。

コメントを残す

メールアドレスが公開されることはありません。 * が付いている欄は必須項目です