4月24日(金)他医院での出張手術の為、診療時間は9:00〜12:00までとなります。
通院中の患者さんにはご迷惑おかけ致しますが、ご理解の程よろしくお願い致します。
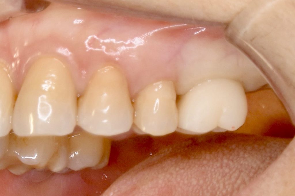
下記の症例は抜歯と同時にインプラント治療を行う事で、治療期間の短縮・手術回数のミニマムなどを図る事ができます。
治療にかかる期間 約3ヶ月
治療にかかる費用 約62万円(税抜)






4月24日(金)他医院での出張手術の為、診療時間は9:00〜12:00までとなります。
通院中の患者さんにはご迷惑おかけ致しますが、ご理解の程よろしくお願い致します。
下記の症例は抜歯と同時にインプラント治療を行う事で、治療期間の短縮・手術回数のミニマムなどを図る事ができます。
治療にかかる期間 約3ヶ月
治療にかかる費用 約62万円(税抜)





