メニュー 閉じる

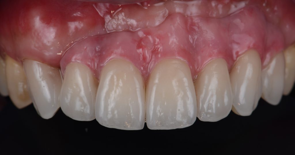
外傷の影響で骨のダメージが大きいケースはこのように治療をすることも可能です

いかなる症例も確実にハイクオリティな結果をお約束致します。

 

コメントを残す

メールアドレスが公開されることはありません。 * が付いている欄は必須項目です