メニュー 閉じる

お喜び頂きこちらも嬉しいです( ´∀` )

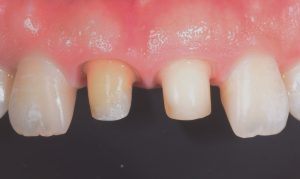
術前、歯ぎしりで歯が欠けて先がギザギザしていました。

仮の歯を装着し歯肉の炎症を取り除き歯の長さを仮の歯で噛み合わせと見た目の問題がないかチェックしました。

セラミックを使用し色・形にご満足していただき私たちも大変うれしかったです。

コメントを残す

メールアドレスが公開されることはありません。 * が付いている欄は必須項目です