11月1日(土)博多セミナーでの講演の為、診療時間は9:00から11:00までとなります。
通院中の患者さんにはご迷惑おかけ致しますが、ご理解の程よろしくお願い致します。
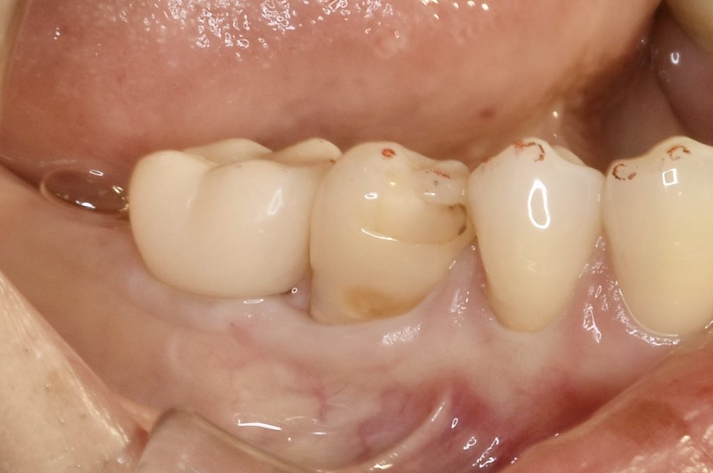
下記の症例は抜歯と同時にSMOPガイドを用いてインプラント埋入手術を行いました。
治療期間3ヶ月で固定式のプロビショナル装着まで可能となります。
見た目良く、しっかり噛めて、手入れしやすいインプラント治療をご提案いたします。
治療費用 約62万円(税抜)




11月1日(土)博多セミナーでの講演の為、診療時間は9:00から11:00までとなります。
通院中の患者さんにはご迷惑おかけ致しますが、ご理解の程よろしくお願い致します。
下記の症例は抜歯と同時にSMOPガイドを用いてインプラント埋入手術を行いました。
治療期間3ヶ月で固定式のプロビショナル装着まで可能となります。
見た目良く、しっかり噛めて、手入れしやすいインプラント治療をご提案いたします。
治療費用 約62万円(税抜)



