メニュー 閉じる

10月29日(水)診療時間のお知らせ

10月29日(水)他医院での出張手術の為、診療時間は9:00〜12:00までとなります。

通院中の患者さんにはご迷惑おかけ致しますが、ご理解の程よろしくお願い致します。

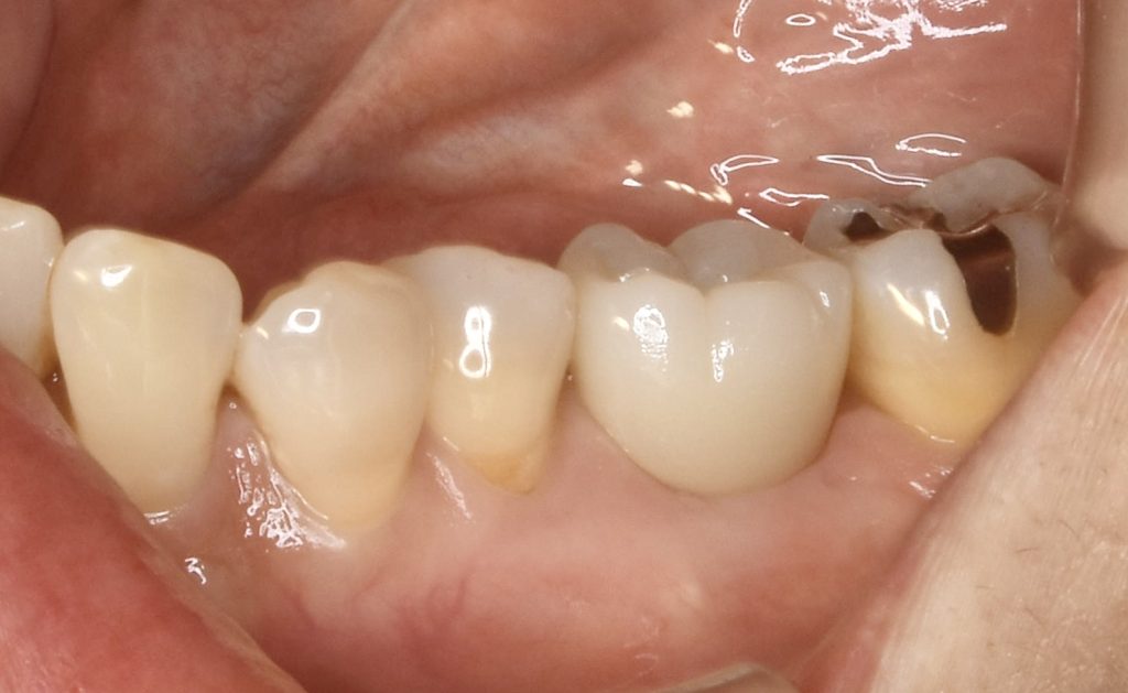
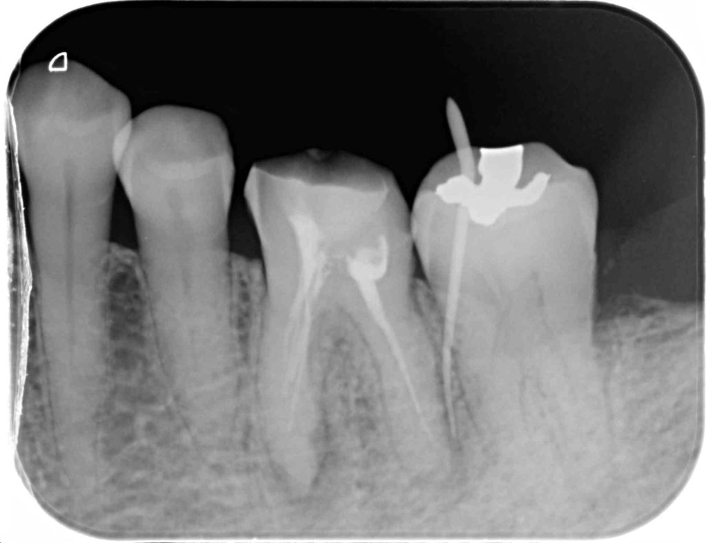
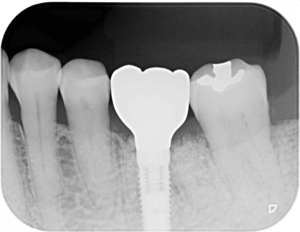
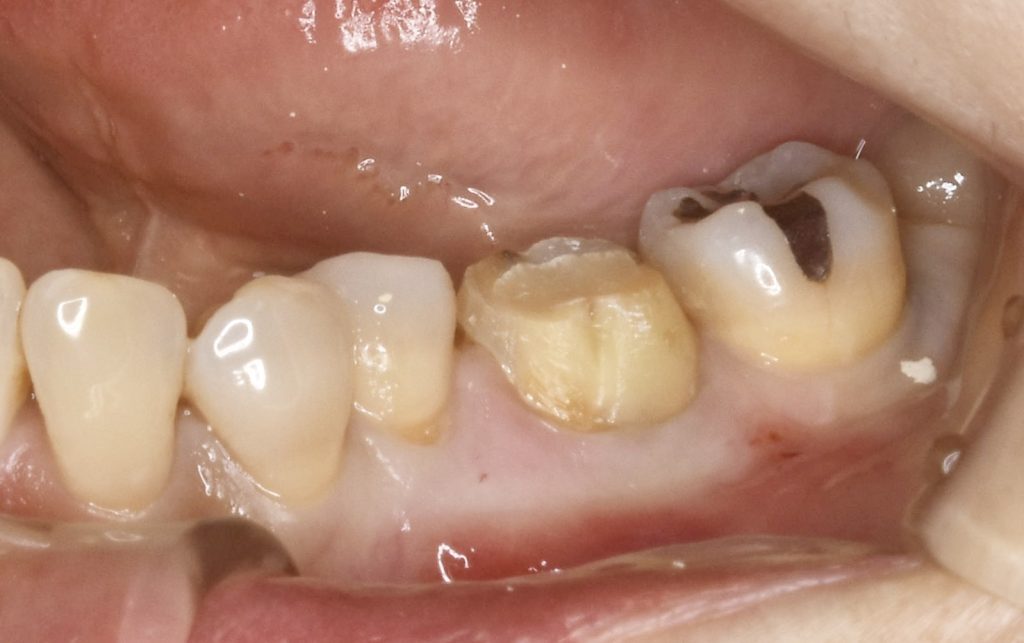
下記の症例は奥歯の抜歯と同時にインプラント治療を行った術後になります。

安全なインプラント治療を提供する為に、SMOPガイドシステムを活用し、術中の痛みやストレスをコントロールする為に麻酔科医による鎮静麻酔を依頼しました。

3ヶ月後、固定式のセラミッククラウンを装着し治療を終了する事が出来ました。

治療費用   約65万円(税抜)

コメントを残す

メールアドレスが公開されることはありません。 * が付いている欄は必須項目です