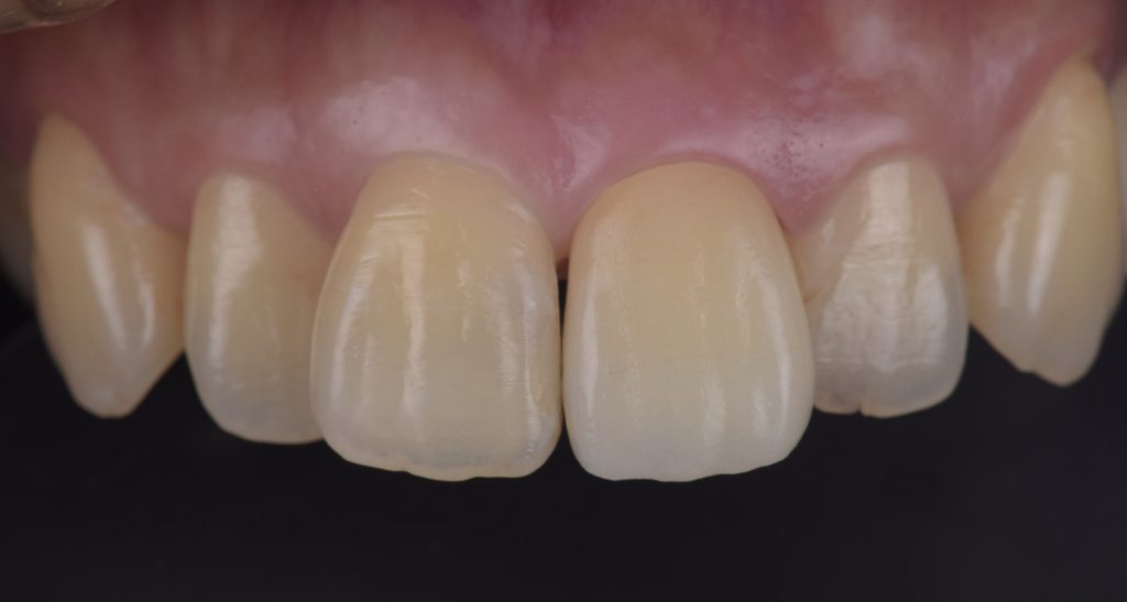
1本の歯の治療にこだわりを!! ksika_master 2020年1月17日 審美治療 0 コメント 根の治療をしっかり行い炎症のない歯肉を作ります 一度、精密な仮の歯で歯肉の炎症が起きないか形態・色調に問題がないかチェックします 仮の歯を入れた状態で改めて色の確認をします 投稿ナビゲーション 前 過去の投稿: 精密な補綴物次へ 次の投稿: 抜歯即時インプラント埋入 コメントを残す コメントをキャンセルメールアドレスが公開されることはありません。 * が付いている欄は必須項目ですコメント 名前 * メール * サイト