メニュー 閉じる

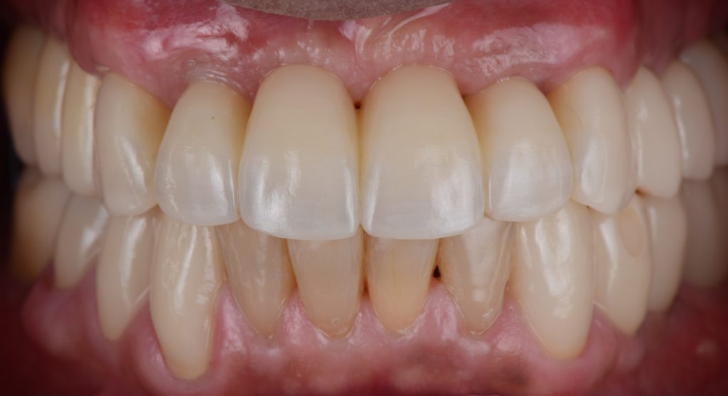
1か月経過しました

まだまだ経過は浅いですがこれから炎症と力のコントロールを図り患者様の満足を得られるようにメンテナンスしていきます。

コメントを残す

メールアドレスが公開されることはありません。 * が付いている欄は必須項目です