メニュー 閉じる

12月24日(水)診療時間のお知らせ

12月24日(水)他医院での出張手術の為、診療時間は9:00〜12:00までとなります。

通院中の患者さんにはご迷惑おかけ致しますが、どうぞご理解の程宜しくお願い致します。

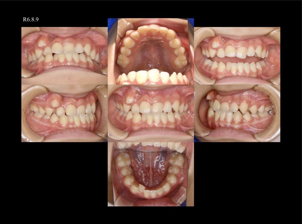
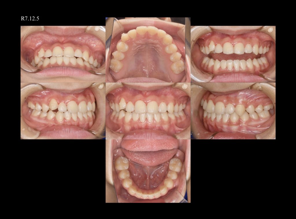
下記の症例は歯列不正に対する矯正治療の一例になります。

治療途中ではありますが、あと半年ほどで治療完了できる見込みです。

矯正治療に発生する費用     約115万円(税別)〜

コメントを残す

メールアドレスが公開されることはありません。 * が付いている欄は必須項目です